27 Dec INFORMIRANI PACIJENTI U ERI UMJETNE INTELIGENCIJE

Živimo u vremenu u kojem su informacije dostupne brže nego ikad prije. Razvoj umjetne inteligencije, digitalnih platformi i stručnih online izvora omogućio je pacijentima da se detaljno informiraju o svojim zdravstvenim, pa tako i ortodontskim problemima.
Danas pacijenti na pregled dolaze pripremljeni – s konkretnim pitanjima, mogućim dijagnozama i jasnim očekivanjima. Često se samostalno konzultiraju s različitim specijalistima iz srodnih grana stomatologije i medicine, uspoređuju terapijske opcije i aktivno sudjeluju u donošenju odluka o svom liječenju.
Mi takav pristup pozdravljamo.
Kako bismo vam olakšali snalaženje u svijetu ortodoncije, pripremili smo pregled ortodontskih aparata koje najčešće koristimo u našoj ordinaciji i za koje smatramo da imaju najveću učinkovitost, uz kratko objašnjenje kako djeluju i u kojim se situacijama primjenjuju.
Svaki pacijent i svaka ortodontska anomalija su jedinstveni. Upravo zato terapiju ne prilagođavamo aparatu, već aparat biramo prema vašim potrebama. Ovisno o dijagnozi, dobi i ciljevima terapije, u mogućnosti smo izraditi i primijeniti manje više sve vrste ortodontskih aparata koji su indicirani za korekciju vaše konkretne anomalije.
Naš cilj je da vas potaknemo da istražujete, informirate se, postavljate pitanja. Vjerujemo da pacijenti trebaju aktivno sudjelovati o donošenju odluka o svome liječenju, kao i na stručne, jasne i točne informacije.
APARATI ZA MAKSILARNU EKSPANZIJU

Klasičan aparat za RPE s ključićem za aktivaciju i štitnikom za jezik 
Samoaktivirajući Hyrax vijak u ustima pacijenta 
Samoaktivirajući vijak sa unutarnjem opružnom elastičnom sustavu
Aparati za maksilarnu ekspanziju služe za proširenje gornje čeljusti kada je ona sužena i ne omogućuje pravilan smještaj zuba ili ispravan zagriz. Najčešće se primjenjuju u dječjoj i adolescentnoj dobi, no mogu se s određenim modifikacijama koristiti i kod odraslih pacijenata.
Djeluju putem postupnog i kontroliranog širenja gornje čeljusti pomoću blage no kontinuirane sile, koja omogućuje razdvajanje desne i lijeve polovine iste u pordučju intermaksilarne suture. Na taj način se povećava širina čeljusti i stvara se prostor za smještaj zuba i širi nazalni prostor. Aparati koji mogu učinkovito proširiti gornju čeljust mogu biti isključivo fiksni-cementirani na zubima, upravo zbog potrebe aplikacije kontinuirane sile. Mobilni aparati nemaju takav učinak jer snagu više prenose na samim zubima a manje na kost, upravo zbog nemogućnosti stvaranje kontinuirane sile.

Indikacije za maksilarnu ekspanziju:
• sužena gornja čeljust
• križni zagriz
• nedostatak prostora za zube
• otežano disanje kroz nos
• priprema za daljnju ortodontsku terapiju
Učinak ekspandera možemo verificirati pomoću CBCT-a gdje se jasno vidi razdvajenje u području intermaksilarne suture.
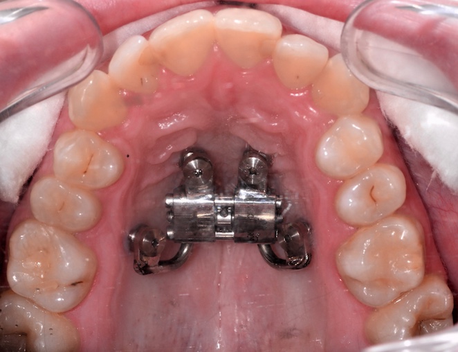
Vijke koje koristimo za ekspanziju
Vijci s ručnom aktivacijom
Ovi vijci aktiviraju se pomoću malog ključa prema uputama ortodonta. Roditelji kod kuće provode jednostavnu aktivaciju jedan do dva puta na dan, a aparat omogućuje učinkovito širenje gornje čeljusti u dječjoj dobi. Ukoliko želimo sličan učinak kod odraslih pacijenata, moramo pojačati sidrenje ovih aparata u kosti, zbog čega ih oslanjamo na minivijke. To su t.z hibridni ekspanzioni aparati ili aparati za MRPE-miniscrew rapid palatal expansion.

Samoaktivirajući vijci
Ova vrsta vijka radi sama, bez svakodnevnog okretanja pomoću unutarnjeg opružnog mehanizma. Unutar vijka nalaze se opruge koje same proizvode kontroliranu i kontinuiranu ekspanzijsku silu, što je za dijete ugodnije i jednostavnije za roditelje.
Odabir vrste ovisi o uzrastu, stupnju sraštavanja šavova gornje čeljusti, veličinom potrebnog prostora kojeg želimo osigurati, spremnosti pacijenta na suradnju. To određuje isključivo ortodont nakon napravljene dijagnostike.
TWIN BLOCK (prema Dr.Clarku)
Twin Block je funkcionalni ortodontski aparat koji se koristi za korekciju nepravilnog odnosa čeljusti, najčešće kod djece i adolescenata u razdoblju rasta. Sastoji se od dva odvojena dijela – jednog za gornju i jednog za donju čeljust – koji međusobno djeluju tijekom zagriza. Spada u grupi mobilnih aparata što znači da se može skidati i stavljati u usta i traži suradnju sa strane pacijenta.

Princip djelovanja
Twin Block djeluje tako da postavlja donju čeljust u unaprijed određeni položaj, čime potiče njezin pravilan rast i razvoj. Tijekom nošenja aparata, mišići, čeljusti i zubi se postupno prilagođavaju novom položaju, što dovodi do poboljšanja međučeljusnog odnosa i zagriza.
Twin Block se najčešće primjenjuje kod:
• distalne okluzije (II. klasa)
• male ili slabo razvijene donje čeljusti
• povećanog horizontalnog preklopa (overjeta)
• nepravilnog profila lica kod djece u rastu
Aparat je najučinkovitiji kada se koristi u razdoblju aktivnog rasta, jer tada može usmjeravati razvoj čeljusti i smanjiti potrebu za složenijim terapijama u kasnijoj dobi.
TRANSFORCE ORTODONTSKI APARAT

Još jedan aparatić prema Dr.Clarku koji je izrazito učinkovit za razvijanje zubnih lukova u širini i dužini, osobito u doba mješovite i rane trajne denticije. Smatramo ga nezamenjljivim kod širenja donjeg luka, stvaranje prostora za trajne zube i rješavanje zbijenosti. Može se koristiti kao priprema za fiksnu terapiju jer skraćuje vrijeme terapije za oko 50%.
Ovaj aparat ne širi samu čeljust, već ima izraziti dentoalveolarni učinak. Zahvaljujući opružnom mehanizmu koji je tvornički podešen sa strane proizvođaća, omogućuje se kontrolirano i točno definirano širenje ovisno o potrebama.
PENDEX
Pendex ortodontski aparat je fiksni tip aparata koji se koristi za širenje gornje čeljusti i stvaranje prostora za zube bez vađenja. Najčešće se primjenjuje kod djece i adolescenata, a omogućuje kontrolirano i učinkovito pomicanje kutnjaka, poboljšavajući zagriz i pripremajući prostor za daljnju ortodontsku terapiju. Indikacije za Pendex ortodontski aparat uključuju:
• Nedostatak prostora u gornjoj čeljusti

• Zbijenost zuba (gužva), osobito u području očnjaka
• Potrebno pomicanje gornjih kutnjaka unatrag (distalizacija)
• Priprema prostora za nicanje trajnih zuba
• Izbjegavanje vađenja zuba u ortodontskoj terapiji
• Malokluzije II klase (odnos gornje i donje čeljusti)
• Terapija kod djece i adolescenata u fazi rasta.
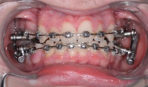
ORTODONTSKE ŽICE I BRAVICE
Ortodontske žice i bravice-poznati kao fiksni ortodontski aparatići
Ortodontske žice i bravice koriste se u terapiji ispravljanja zuba već više od 100 godina, a suvremeni fiksni aparati kakve danas poznajemo razvijeni su sredinom 20. stoljeća. Zahvaljujući napretku materijala i tehnologije, današnje terapije su učinkovitije, ugodnije i estetski prihvatljivije nego ikad prije.
Bravice su mali elementi koji se lijepe na zube, dok ortodontska žica prolazi kroz njih i povezuje ih u cjelinu. Žica stvara blage, kontrolirane sile koje postupno pomiču zube u pravilan položaj. Tijekom terapije žice se redovito mijenjaju kako bi se prilagodile fazama pomicanja zuba.
Princip djelovanja
Ortodontske žice djeluju tako da kontinuiranim, laganim pritiskom potiču prirodni proces preoblikovanja kosti oko zuba. Na taj se način zubi pomiču sigurno i kontrolirano, bez oštećenja okolnih tkiva.
Indikacije
Ortodontske žice i bravice koriste se kod:
• nepravilnog položaja zuba

• zbijenosti ili razmaka između zuba
• nepravilnog zagriza
• problema s nicanjem trajnih zuba
• estetskih i funkcionalnih smetnji osmijeha
Terapija je prikladna za djecu, adolescente i odrasle, a plan liječenja uvijek se prilagođava individualnim potrebama pacijenta. Još uvijek ih smatramo najboljom tehnikom za korekciju bilo koje ortodontske anomalije jer daju stabilne i sigurne rezultate.
APARATI SA SKELETNIM SIDRIŠTEM

To su zapravo klasični ortodontski elementi- vijci, opruge, kuke koji se sidre ne samo na zubima već i na male titanske vijčiće koji služe kao privremena stabilna potpora u kosti. Primjenjuju se kod složenijih nepravilnosti i mogu pomoći kod izbjegavanja vađenja zuba ili kirurških zahvata.

Vijke postavljamo obično na nepcu u t.z safe zoni gdje nema anatomskih struktura koje bi se mogle ozlijediti tijekom postavljanja, a za još sigurniju aplikaciju koristimo vodilice izrađene na osnovu CBCT snimka pacijenta.
Izrada ovih aparat je složena i zahtjeva puno pripreme i planiranja individualno za svakog pacijenta. Koriste se kod odraslih i adolescenata, ponekad i kod djece ukoliko to dozvoljava stupanj maturacije kosti.
FIKSNI FUNKCIONALNI APARATI-ADVANSYNC

Jedan aparat koji sa zadovoljstvom koristimo kod malih donjih čeljusti.
AdvanSync fiksni funkcionalni aparat koristi se za korekciju nepravilnog odnosa gornje i donje čeljusti, najčešće kod izraženog pregriza. Aparat djeluje tako da postavlja donju čeljust u pravilniji položaj, potičući skladan razvoj zagriza. Budući da je fiksiran u ustima, djeluje kontinuirano, bez potrebe za suradnjom pacijenta, a najčešće se primjenjuje kod djece i adolescenata u fazi rasta.
Kod djece i adolescenata koji su još u fazi rasta, AdvanSync drži donju čeljust u prednjem, funkcionalnom položaju. Time se potiče prirodan rast i prilagodba čeljusti, kao i povoljan razvoj zagriza. AdvanSync ima učinak i na gornju čeljust, ali posredno.
Aparat je fiksiran i na gornje i na donje kutnjake te:
• usporava ili kontrolira rast gornje čeljusti kod djece u fazi rasta
• sprječava njezino prekomjerno pomicanje prema naprijed
• poboljšava odnos gornje i donje čeljusti u zagrizu
Time se postiže uravnoteženiji rast čeljusti i bolja funkcija zagriza.

pregriz kod pacijenta prije nošenja aparata 
pregriz nakon nošenja Advansync aparatića
ORTODONTSKI ALIGNERI

• Aligneri su dokazano učinkoviti za blage i umjerene ortodontske korekcije, posebno kod prednjih zuba i blagog nepravilnog prijeklopa.
• Za složenije anomalije (npr. velike rotacije, zatvoranje ekstrakcijskih prostora, teže malokluzije) nisu pogodni ili ih se mora kombinirati sa klasičnim fiksnim aparatima t.z hibridna terapija.
• Studije pokazuju da planirana digitalna terapija omogućuje visoku predvidljivost pomaka zuba, ali da često postoje odstupanja između virtualnog plana i realizacije istog pa su potrebna česta reprogramiranja i nadopuna terapije.
2. Prednosti
• Estetika: gotovo nevidljivi, što ih čini popularnim kod odraslih i adolescenata.
• Komfor: uklonjivi su pa je lakše održavati oralnu higijenu i jesti.
• Manje posjeta ortodontu: kod rutinskih pomaka potrebna je manja učestalost kontrola u odnosu na fiksne aparate.
3. Ograničenja
• Terapija je ovisna o suradnji pacijenta – aligner treba nositi 20–22 sata dnevno pa stime nisu pogodni za dugotrajne i složene terapije.
• Teži pomaci (npr. značajne rotacije, zatvaranje velikih interdentalnih prostora, pomak korijena) mogu biti izazovni ili zahtijevati dodatne dodatke poput tipova (attachments).
• Aligneri ne proizvode optimalne kontinuirane sile već sile intermitentnog karaktera, slično kao i svi mobilni aparati pa sa samim tim mogučnosti pomaka korijena zuba i stabilnost postignutih rezultata je puno manja.
- Rezultati u ustima mogu odstupati od digitalnog plana što može dovesti do nezadovoljstva pacijenta zbog prolongiranja tretmana i povećanja cijene istog.
4. Najčešće ih koriste
- Poslovni ljudi
- Pacijenti sa visokim estetskim zahtjevima
- Pacijenti koji ima specifične životne navike i stil
RETENCIJSKI APARATI

Retencijski ortodontski aparati koriste se nakon završetka aktivne ortodontske terapije kako bi se očuvao postignuti položaj zuba i spriječilo njihovo vraćanje u prvobitni položaj. Pacijenti često krivo misle da se sa skidanjem aparatića njihova ortodontska završila. Retencija je ključna faza svake ortodontske terapije, jer zubi i okolna tkiva trebaju vrijeme za stabilizaciju.
Retencijski aparati mogu biti fiksni ili mobilni, a njihov odabir ovisi o vrsti provedene terapije i individualnim potrebama pacijenta. Redovito nošenje retencijskog aparata osigurava dugotrajan i stabilan rezultat ortodontskog liječenja.
Dužinu retencije i vrstu aparata određuje samo ortodont. Najviše ovisi o:
- težini anomalije
- da li su se postigli optimalni rezultati ili ne
- da li pacijent i dalje raste
- da li će se raditi protetika nakon ortodoncije

Preporučujemo da slijedite upute ortodonta u vezi retencije ukoliko želite dugotrajne i stabilne rezultate, isto kao i kod trajanja aktivne terapije.