16 Sep Doktore moji se zubi troše, je li to normalno?
Ovo je u zubnim ordinacijama relativno često pitanje na koje na žalost rijetko dobivamo konkretan odgovor. Najčešća objašnjenja ovisno o intenzitetu promjena su da imate prirodno sitne zube, lošu kvalitetu zuba, da ste pod stresom i stišćete zubima, ponekad ćete biti upućeni ortodontu, a čak će vas pitati da li možda stradate od bulimije. Malo tko će vam reći da imate traumatski zagriz i da vaši zubi trpe preveliko opterećenje. Sa stajališta bioestetske stomatologije to znači da imate degenerativnu bolest žvačnog sustava a promjene počinju i mogu biti vidljive već u najmlađem uzrastu.

Očuvana genetska morfologija-forma donjeg očnjaka i pretkutnjaka nasuprot donjih sjekutića gdje se već vide otkrhnute incizalne stijenke na caklini kod djeteta od 13 godina.

Trošenje očnjaka i donjih prednjih zuba s gubitkom prirodne dužine zuba uslijed loše funkcije žvakanja! Gubitak cakline je nepovratan degeneracija je uznapredovala!
Bioestetska stomatologija je nastala proučavanjem ljepote živih bića u njihovom prirodnom obliku i funkciji. To otprilike znači da ne možete imati lijepe zube ako nešto s vašim zagrizom ne funkcionira kako treba. Mainstream stomatologija se danas pretežno bavi karijesima, upalama i saniranjem njihovih posljedica. Međutim traumatski zagriz je upravo taj koji uništava ljepotu vaših zuba i lica, uništava caklinu, uzrokuje bolove u zubima, mišićima i čeljusnim zglobovima ,potiče napredovanje parodontalne bolesti, uzrokuje promjene na mekim i tvrdim tkivima usne šupljine.

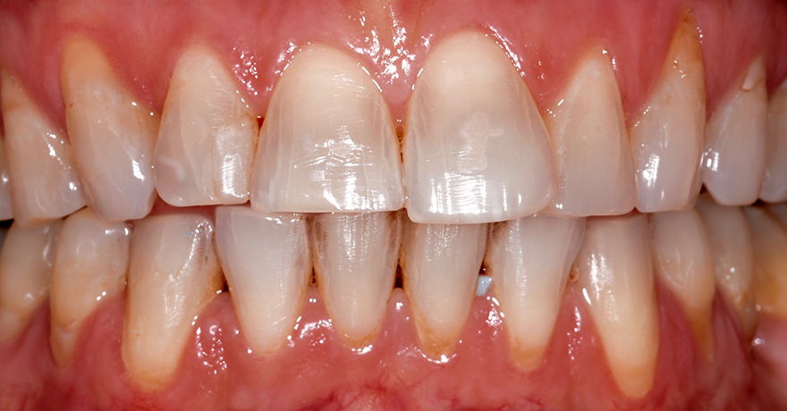
Vertikalne frakturne linije u caklini uslijed overloada-preopterećenja. Zubno meso se intenzivno povlači.
Najčešće promjene koje možemo vidjeti na zubima uslijed traume je gubitak kvržica zuba, recesije ili povlačenje zubnog mesa, vertikalne frakturne linije u caklini usljied preopterećenja tijekom žvakanja.Ono što pacijenti najviše primjećuju je skraćenje dužine zuba i gubitak njihove ljepote a najčešće stradaju prvo prednji zubi koji su i najvidljiviji.
Što učiniti da bi se spriječilo daljnje napredovanje bolesti?
Potrebno je obratiti se specijalisti koji točno razumije kako funkcionira žvačni sustav. Samo prekrivanje prednjih zuba nekakvim ljuskicama ili krunicama samo će zamaskirati problem na određeno vrijeme a promjene će se nastaviti. Potrebno je djelovati na široj razini jer je problem cijelog žvačnog sustava a ne samo zuba.
Bioestetika nudi rješenja za vraćanje u stanje prije nastalih promjena ili bioestetsko podmlađivanje a ne samo sanaciju. Terapije se započinju bioestetskom dijagnozom dabi se utvrdio uzrok problema, kompletno deprogramiranje ili normaliziranje funkcije vaših mišića i zglobova nakon čega se ide na vraćanje izgubljene forme zuba,onaj dio koji se izgubio uslijed trošenja.